Vi è mai capitato di guardare i vostri denti allo specchio e di intuire che qualcosa è cambiato ma di non sapere bene cosa?
Si?!
Allora scegliete l’immagine che più vi assomiglia e noi vi diremo che cosa e’ successo!

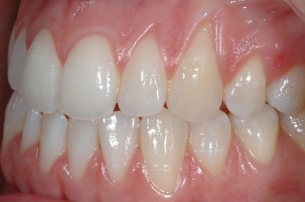
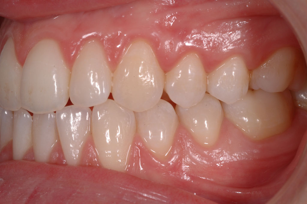
Si chiama recessione gengivale ed è una riduzione nelle dimensioni verticali della gengiva rosa con conseguente allungamento della
parte visibile del dente.
Spostandosi la gengiva viene a scoprirsi la radice del dente normalmente coperta da un sottile spessore di osso e da gengiva appunto.
I denti possono essere sensibili, più soggetti a carie e alla abrasione.
Se colpisce i denti anteriori la recessione può essere visibile e antiestetica.
Una gengiva con una recessione non può tornare normale senza un intervento di microchirurgia chiamato ricopertura radicolare.
Vi riconoscete in questo gruppo? Leggete il trattamento a fine post!

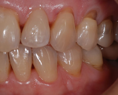
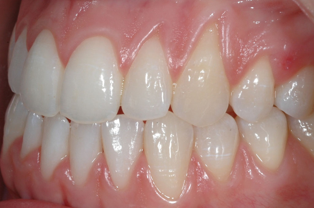
A volte confuse con problemi gengivali, le abrasioni dentali sono delle perdite del solo tessuto duro del dente, nella zona dove confina
con la gengiva chiamata colletto.
Possono essere più o meno profonde.
Nei casi più gravi possono anche arrivare al nervo del dente.
Vengono confuse con le recessioni gengivali perché la parte scoperta spesso tende al colore giallo della radice, ma il livello gengivale rispetto alla posizione del dente è corretto.
Spesso molto sensibili anche allo spazzolamento, sono dovute per lo più a tensioni muscolari che si trasmettono ai denti sotto forma di bruxismo e serramento e che determinano l’assottigliamento
e la perdita dello smalto dove per natura è più sottile.
Il trattamento? Conservativo come puoi vedere in fondo se il tuo dente ricorda la foto b!

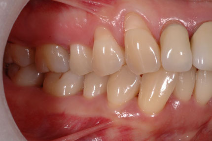
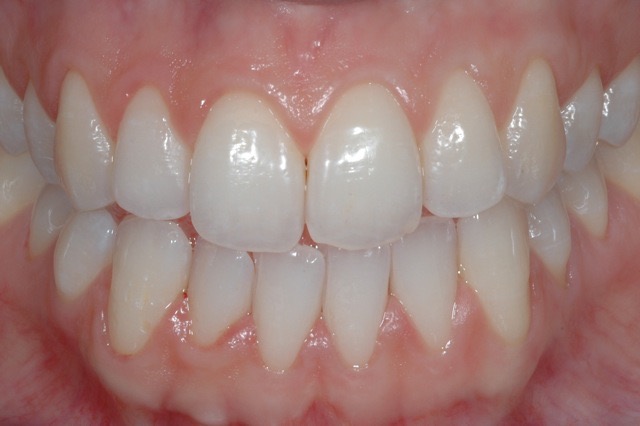
Molto frequente il caso a e b si accoppiamo dando origine alle recessioni con abrasione.
In questo caso gli errori nello spazzolamento e nella scelta dei prodotti si prolunga al punto che oltre allo spostamento della gengiva si ha anche la perdita di tessuto dentale.
In questo caso la terapia è combinata e prevede la cura della parte abrasa con ricostruzioni in composito e il riposizionamento gengivale con l’intervento di ricopertura radicolare. Per vedere
come sbircia in fondo al post!
Esempi di trattamento!
Ti senti un tipo “a”? Guarda il caso che segue!
Sei invece un tipo “b”?
Problemi di denti e gengive? Questo allora è il tuo caso!







