Aggioramento Novembre 2021.
2015-2021. Il digitale abbraccia ogni aspetto dell’odontoiatria moderna rendendola precisa, rapida e ad alta valenza estetica.
I vantaggi della scelta digitale iniziano già dal primo appuntamento. Niente più impronte con materiali adesivi dal sapore sgradevole!.
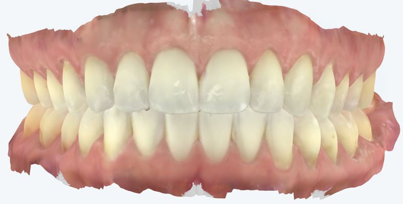
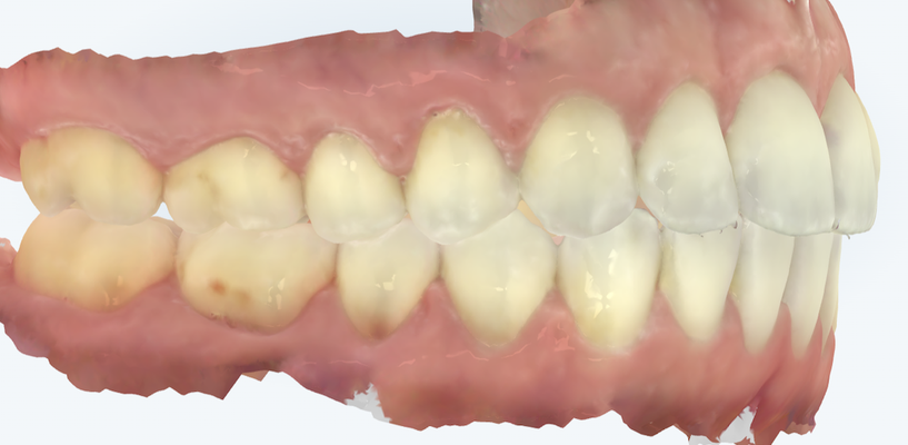
Da oggi l’impronta si acquisisce con una telecamera intraorale che scansiona i denti creando un’immagine 3D immediatamente visibile e controllabile a monitor.
Il dentista può così studiare la bocca del paziente anche quando non è seduto alla poltrona, evidenziando la presenza di denti fratturati, cariati, mancanti o di un’occlusione scorretta.
Inoltre, con un semplice clic, è possibile colorare i punti dove toccano i denti tra di loro, scoprendo così zone di forte contatto che potrebbero essere causa di fastidi o dolore per il
paziente.
La vera rivoluzione è però rappresentata dai cosidetti “restauri chairside”, ovvero lavori protesici in composito o ceramica, come corone o
intarsi, che vengono progettati, realizzati e cementati in un unico appuntamento con il paziente seduto alla poltrona.
Questo è reso possibile dalla tecnologia CAD-CAM che permette di creare un restauro partendo dalla progettazione al computer.
Il manufatto viene realizzato da un blocchetto di materiale, scelto in base alle esigenze specifiche del caso, che viene inserito in un fresatore presente in studio.
Fatta la prova su paziente, il restauro viene lucidato e cementato definitivamente!











